Primary Work
click images to enlarge:
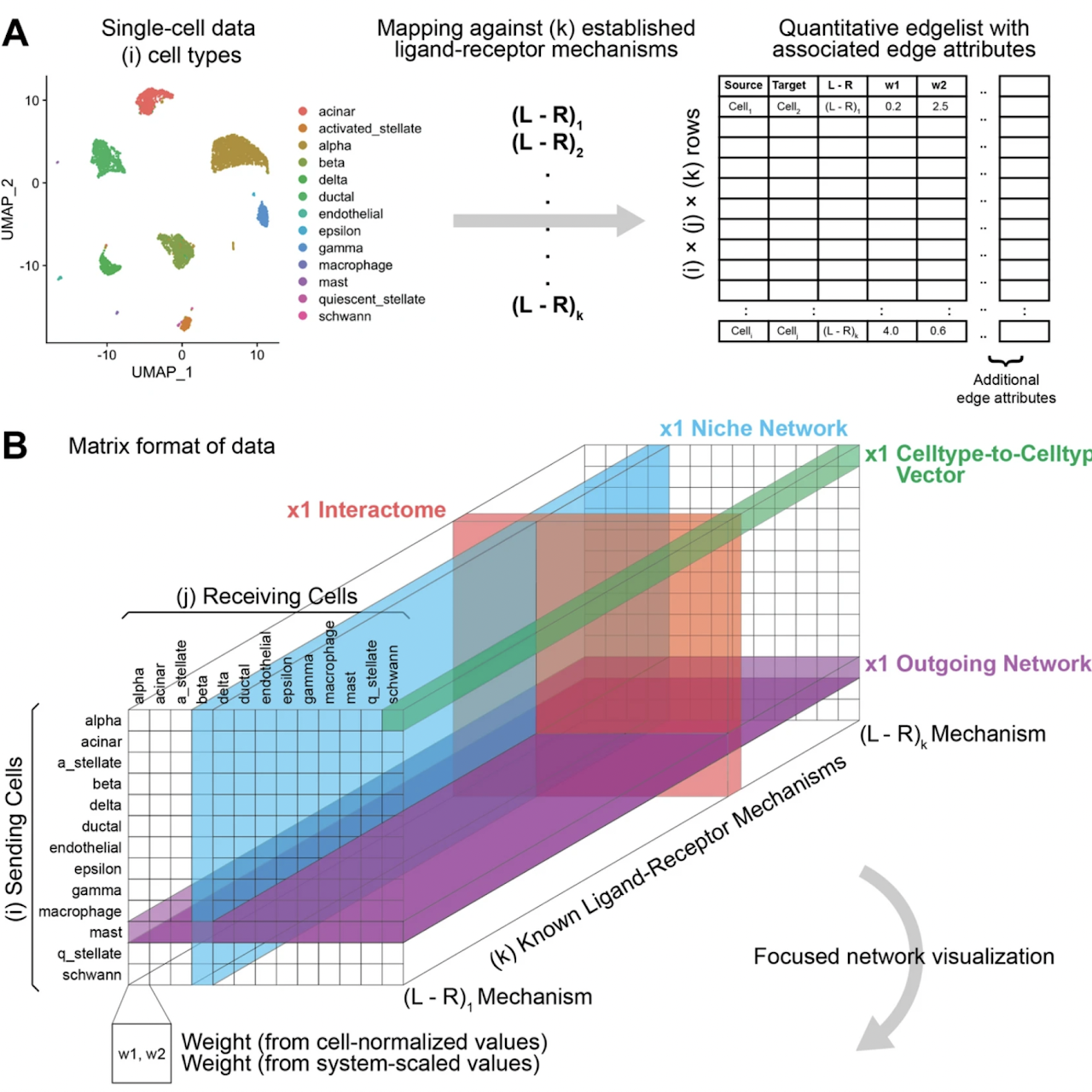
Comprehensive Visualization of Cell–cell Interactions in Single-cell and Spatial Transcriptomics with NICHES
Bioinformatics 39, no. 1 (2023): btac775
Computation and Visualization of Cell–cell Signaling Topologies in Single-cell Systems Data using Connectome
Scientific Reports 12, no. 1 (2022): 4187.
Microvascular Fluid Flow in Ex Vivo and Engineered Lungs
Journal of Applied Physiology 131, no. 5 (2021): 1444-1459
Single-cell Connectomic Analysis of Adult Mammalian Lungs
Science advances 5, no. 12 (2019): eaaw3851.
Collaborative Work
Spatial Profiling Identifies Tumor-Associated Stroma Enrichment and MIF as Potential Immunotherapy Targets in Primary Ewing Sarcomas
Clinical Cancer Research OF1-OF19 (2025): 1078-0432. DOI: 10.1158/1078-0432.CCR-25-0635
Single cell RNA seq reveals the pro-regenerative phenotype of thrombospondin-2 deficient dermal fibroblasts
Scientific Reports volume 15, Article number: 32304 (2025). DOI: https://doi.org/10.1038/s41598-025-15839-3
Fibroblast Inflammatory Priming Determines Regenerative versus Fibrotic Skin Repair in Reindeer
Cell 185, no. 25 (2022): 4717-4736.
Characterization of the COPD Alveolar Niche using Single-cell RNA Sequencing
Nature communications 13, no. 1 (2022): 494
Platform Effects on Regeneration by Pulmonary Basal Cells as Evaluated by Single-Cell RNA Sequencing
Cell reports 30, no. 12 (2020): 4250-4265
Single-cell multi-omics reveals dyssynchrony of the innate and adaptive immune system in progressive COVID-19
Nature communications 13, no. 1 (2022): 494
Integrated Single-Cell Atlas of Endothelial Cells of the Human Lung
Circulation 144, no. 4 (2021): 286-302
Engineering of Human Brain Organoids with a Functional Vascular-like System
Nature methods 16, no. 11 (2019): 1169-1175
Foundational Work
Bioengineering the Blood-Gas Barrier
Comprehensive Physiology 10, no. 2 (2020): 415.
Biomimetic Culture Reactor for Whole-lung Engineering
BioResearch open access 5, no. 1 (2016): 72-83.
A Rotating Bioreactor for Scalable Culture and Differentiation of Respiratory Epithelium
Cell Medicine 7, no. 3 (2015): 109-121
Tissue-Engineered Lungs for In Vivo Implantation
Science 329, no. 5991 (2010): 538-541




















